
Preguntas frecuentes
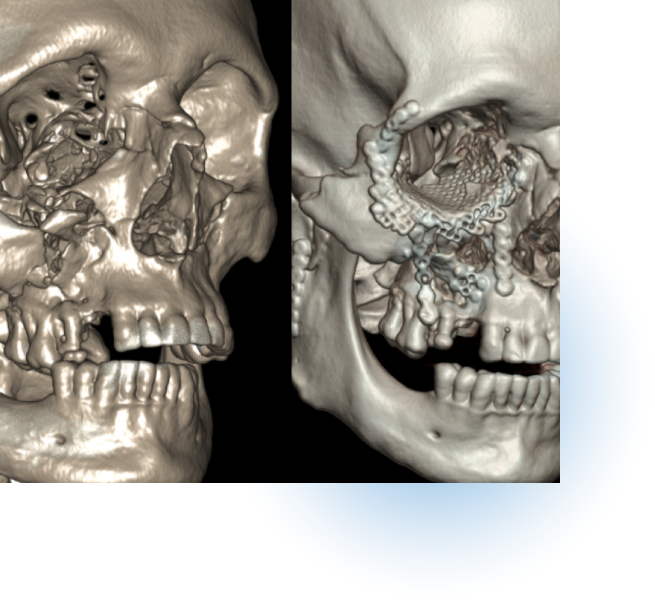
La atención de los traumatismos faciales debe ser inmediata. Las primeras horas son críticas para disminuir al mínimo las secuelas.
De ninguna manera.Todos los materiales usados son “biocompatibles”, esto quiere decir que han sido probados para permanecer y funcionar en el cuerpo humano a lo largo de la vida sin ocasionar ninguna alteración o rechazo.
Sí, mientras los mantengas dentro de tu boca o en leche y acudas dentro de las primeras 6 horas podemos, después de valorarte, volver a colocarlos y fijarlos mediante tratamiento especial.
